Saltar al contenido
GI-RADS
Gynecologic Imaging Report And Data System
GI-RADS
  • Inicio
  • Primera Herramienta de Evaluación
  • Caracterización Subjetiva de Imágenes Anexiales
  • GI-RADS
  • Inicio
  • Primera Herramienta de Evaluación
  • Caracterización Subjetiva de Imágenes Anexiales
  • GI-RADS

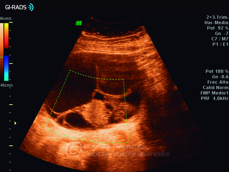
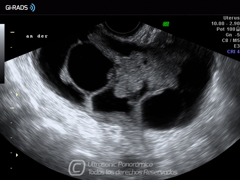
Cáncer Anexial – Áreas Sólidas

Estás aquí:
  1. Inicio
  2. Cáncer Anexial – Áreas Sólidas

00

01

02

03

04

  • Metodología GI-RADS
  • Imágenes Normales
  • Patologías Benignas
    • Patologías Benignas – Quiste Simple
    • Patologías Benignas – Cuerpo Lúteo Hemorrágico
    • Patologías Benignas – Quiste Endometriósico
    • Patologías Benignas – Teratoma Maduro
    • Patologías Benignas – Hidrosalpinx
    • Patologías Benignas – Abceso Tubo Ovárico
    • Patologías Benignas – Pseudoquiste de Inclusión Peritoneal
    • Patologías Benignas – Mioma Pediculado
    • Patologías Benignas – Fibroma
    • Patologías Benignas – Quiste Paraovárico
    • Patologías Benignas – Cistoadenoma
    • Patologías Benignas – Patología Extra-Ginecológica
    • Patologías Benignas – Embarazo Ectópico
  • Cáncer Anexial
    • Cáncer Anexial – Áreas Sólidas
    • Cáncer Anexial – Papilas
    • Cáncer Anexial – Flujo Interno
    • Cáncer Anexial – Flujo Abundante
    • Cáncer Anexial – Baja Resistencia
    • Cáncer Anexial – Ascitis
Todos los derechos reservados GI-RADS 2013 - Desarrollado por Sistema en línea
Ir a Tienda