Saltar al contenido
GI-RADS
Gynecologic Imaging Report And Data System
Inicio
Primera Herramienta de Evaluación
Caracterización Subjetiva de Imágenes Anexiales
GI-RADS
Inicio
Primera Herramienta de Evaluación
Caracterización Subjetiva de Imágenes Anexiales
GI-RADS
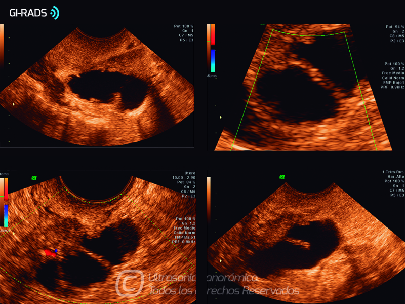
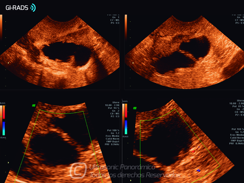
Patologías Benignas – Hidrosalpinx
Estás aquí:
Inicio
Patologías Benignas – Hidrosalpinx
00
01
02
03
04
Ir a Tienda